Showing 6 of 1844 Results

Press ReleaseDec 5, 2025
Read MoreSanford Burnham Prebys Joins Consortium to Rewrite the Realities of Drug Discovery
Researchers at Sanford Burnham Prebys Medical Discovery Institute will be part of a new, ambitious project to transform the drug…

Press ReleaseDec 5, 2025
Protein puppeteer pulls muscle stem cells’ strings
Study from the Sacco lab links the tenascin-C protein to muscle stem cell levels and muscle regeneration, may lead to…

Press ReleaseDec 1, 2025
Structural support protein takes center stage in maintaining mitochondria
Study from the Zhang lab shows that GFAP is a leading player in the dynamic drama of division and union…

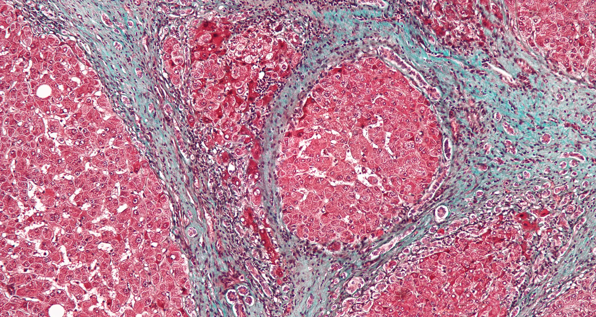
Institute NewsNov 24, 2025
Science in Pictures
A weekly image series featuring selected pictures in science • Collagen

Institute NewsNov 17, 2025
Science in Pictures
A weekly image series featuring selected pictures in science • Collagen

Institute NewsNov 14, 2025
Q & A with Postdoctoral Researcher Alexandra Houser, PhD, from the Feng Lab
Alexandra Houser, PhD, is a structural biologist studying ion channels to better understand how the brain works.

Press ReleaseNov 14, 2025
Computational deep dive surfaces unexplored world of cancer drug targets
DeepTarget tool predicts direct and indirect targets of cancer drugs.
